ABOUT US

Prime Dental Studio is the leading, most advanced dental laboratory in East & Central Africa, delivering world-class smiles with precision, speed, and trust.

With over 10 years of experience, we combine cutting-edge science with artisanal Wittsmanship, giving dentists the confidence to deliver the very best outcomes for their patients, supported by our strong team of 40+ skilled dental technicians.

Why Choose Us?

  • 10 years of proven excellence
  • 40+ skilled technicians with both digital and analogue expertise
  • Largest and most advanced dental lab in Kenya
  • Exclusive provider of Riton DLMS crowns in East & Central Africa
  • Trusted Katana Zirconia for superior crowns & bridges
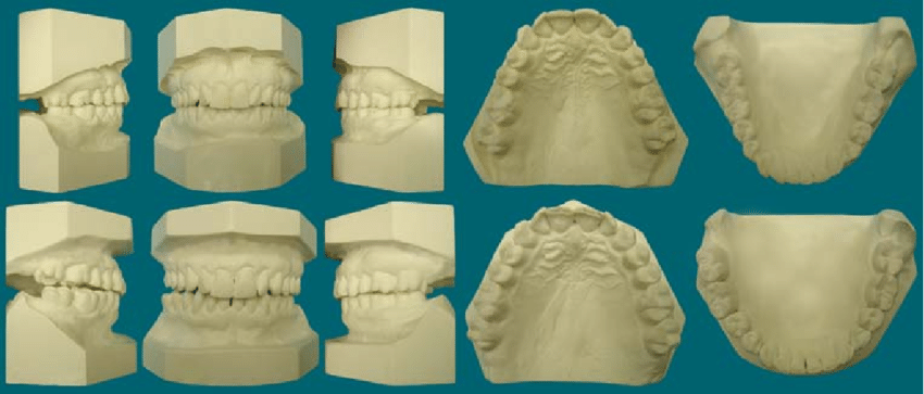
  • Comprehensive service range – crowns, dentures, implants, orthodontics
  • Possible Fast turnaround (48-72 hrs)
  • Easily available support for all your cases
  • Backed by Evident global standards in design

Supported By Evident
We collaborate with Evident – a leading global dental design outsourcing partner, ensuring smooth workflows, innovative design, and consistent quality

350i 5-axis Mill

VHF Mills

3D Printing & Exocad Design

Yena Mill